Monday to Friday     8Am   -   9PM
  +91 95162 85162

Teeth whitening

Best, highly qualified clinicians who understand dentistry with holistic approach

teeth whitening

teeth whitening

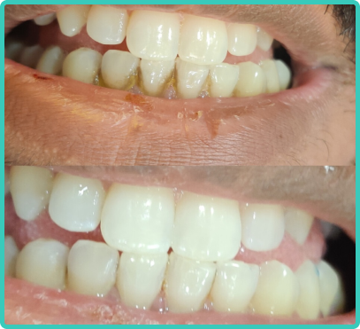
Our teeth whitening service is one of the best service:

Teeth whitening or teeth bleaching is the process of lightening the color of human teeth. Whitening is often desirable when teeth become yellowed over time for a number of reasons, and can be achieved by changing the intrinsic or extrinsic color of the tooth enamel. The chemical degradation of the chromogens within or on the tooth is termed as bleaching. Braces Faces Superspeciality Dental Care offers Teeth whitening treatment in pimple saudagar, that lightens the shade of teeth. Teeth whitening treatment is one of the popular cosmetic dental treatments as it can greatly improve how your teeth look. Teeth Whitening is not a one-time procedure. It will need to be repeated from time to time if you want to maintain the brighter color.

Our teeth whitening service is one of the best service

at brace & faces superspeciality dental care, dr. swapnil has done more 22,000+ teeth whitening with hassle free technique.

Contact us to schedule an initial assessment session.

Why Choose Us

11+ years of experience

100+ 5 star reviews

5000+ happy smiles

BE INSPIRED BY SOME AMAZING SMILE TRANSFORMATIONS

Member & Partnerships

Braces and Faces Superspeciality Dental Clinic - All Rights Reserved